近日,心血管内科五病区在梁波主任带领下,成功完成一例生物可吸收支架植入手术,使我院冠脉介入治疗技术再次取得突破性进展。
40多岁的王先生,因心绞痛入住心血管内科五病区。冠脉造影提示前降支中段严重狭窄,需支架植入解除狭窄病变,改善心肌供血,降低心梗、猝死等风险。梁主任带领心血管内科五病区团队一起仔细分析了患者的病情,考虑患者为中年男性,使用传统药物涂层金属支架,再狭窄率会逐年增加,为了给王先生在心脏冠脉介入治疗中有更好的选择,梁主任认为该患者严重狭窄的血管适合植入可吸收支架。
可吸收支架也称生物可降解支架、生物全降解支架,采用在人体内可降解吸收的材质制成,支架携带药物,通过药物缓释抵御血管再狭窄,最终降解并完全被组织吸收,血管结构功能恢复。经过与患者及家属的充分沟通和充分术前检查及评估后,决定为患者植入生物可吸收支架。手术过程十分顺利,术后无不良反应。
此例手术的成功开展,标志着我院成为国内为数不多掌握并开展该技术的医院之一。同时,应用生物可吸收支架,避免金属在体内残留,实现“血管再造”,切实为患者带来福音。(供稿:心血管内科五病区 梁波 编辑:宣传科 张宁)

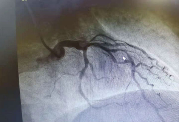
术前狭窄血管

术后植入可吸收支架狭窄处消失
科普知识:
“生物可吸收冠状动脉雷帕霉素洗脱支架系统”(NeoVas)已于2019年2月26日正式获得国家药品监督管理局批准上市,该产品是自主研发的国内安全性优异的全球意义上的第二代生物可吸收支架,是引领第四次介入治疗革命的重大创新产品。是继金属药物支架“血管再通”后心血管治疗领域的又一次革命,是PCI技术的又一个重要的里程碑。
NeoVas生物可吸收支架从植入后至完全降解吸收的整个寿命周期分为支撑期、降解期和康复期三个阶段。术后1年为支撑期,支架植入、血运重建内皮修复,实现支撑狭窄血管功能;术后1至3年为降解期,这是支架开始降解逐步吸收的过程;术后3年以上为康复期,支架完全降解吸收,完成“血管再造”,恢复自然血管状态。
NeoVas生物可吸收支架与金属药物支架相比,在血运重建和安全性方面无统计学差异,但支架降解后患者血管基本恢复至原位血管的弹性,表现出统计学优效,实现“血管再造”,避免金属残留。
专家简介:

梁波:心血管内科五病区主任 主任医师 副教授
1991年毕业于皖南医学院临床医学系,获学士学位,现任心血管内科五病区主任、主任医师、副教授。兼任黑龙江省医师协会心血管委员会委员、黑龙江省医学会心电电生理和起搏委员会委员、黑龙江中西医结合学会心脏重症委员会委员、齐齐哈尔医学会心血管委员会委员。2000年赴北京大学人民医院进修心导管介入治疗。2006年上海中山医院、2008年山东省医院、2016年哈医大心血管学习班学习。完成市科技局及医学院科研15项,主编著作2部,参编著作1部,发表文章30余篇。
熟练心血管疾病诊断与治疗。开展了心脏起搏器、冠脉的支架植入、先心病介入封堵、心律失常射频消融术等新技术。熟练冠心病心绞痛、心肌梗死、高血压、心力衰竭、心肌病、心肌炎、心包炎、心包积液、心脏瓣膜病、先心病、血管动脉硬化及血栓形成、心律失常和血脂异常等疾病诊断与治疗。开展了心脏起搏器治疗、冠状动脉疾病的支架植入治疗、先心病介入封堵治疗、心律失常射频消融术等新技术。
