近日,齐医附属二院引进市内首台美国GE公司生产的全球顶级Revolution 256排512层超高端能谱CT正式投入使用。这台CT不仅为我院医疗装备体系增添新利器,助推医院精准医疗迈上新台阶,更为就诊患者带来精准、舒适、快捷、安全的医学影像服务新体验,此设备将能谱、高时间分辨率及宽体探测器三个超高端CT的技术方向合三为一,为临床诊断、治疗提供强有力的技术支持,更好地为鹤城百姓的生命健康保驾护航。

GE Revolution 256排512层超高端能谱CT
256排Revolution CT被称为“革命型CT”、“CT界的航母”,融合超高端CT的能谱扫描、高时间分辨率扫描和宽体探测器扫描三个领域顶尖科技于一身,实现了无限制1-Beat心脏成像、无限制1-Stop脑卒中成像、多通道主机能谱成像,打造了CT覆盖范围、速度、图像质量、辐射剂量、能谱和扫描舒适性的业界新典范,建立了心血管、神经、肿瘤、呼吸系统、泌尿系统及骨科专业等疾病的成像和低剂量筛查领域全新标准,大幅提高医疗效率和患者体验,有效协助医生进行精准诊断和应对重疾挑战。

医学影像中心、CT室王余广主任等在探讨病例

GE Revolution 256排512层超高端能谱CT正式投入使用
Revolution 能谱CT具有以下优势:
宽的极限——16cm高清宝石探测器,可轻松覆盖心脏、颅脑、肝脏等单器官。
快的极限——29ms时间分辨率,在任何心率和心律条件下,一个心动周期就可以获得心脏的冠脉解剖信息、斑块成分信息、心脏4D运动信息、心功能信息和心肌灌注信息。
高清的极限——0.23mm的空间分辨率,可以看清人体的细节,例如2毫米冠脉支架的细节和支架内再狭窄。
低剂量的极限——减低82%X射线剂量、减低50%对比剂用量。更低的辐射剂量,更低的对比剂浓度或用量,带来更高清的图像,为早期疾病的筛查及儿科、肾功能不全患者带来更安全的CT检查。
快速急诊检查——无需屏气、无需镇静、一键定位、超快速大范围扫描,简便快捷的完成高难度急诊扫描:急诊脑卒中一站式检查、急诊胸痛血管检查、急诊外伤检查。同时,Revolution CT还兼具其他一些强大功能,如CT灌注、CT静脉成像、全身血管联合成像等。
能量的极限——多物质能谱成像,更快的三同瞬切、灵活的多物质定性和定量,实现病灶早发现、病灶性质鉴别、肿瘤同源性鉴别、无机物成分鉴别、疗效评估、血管显微成像和双低成像。
舒适性的极限——80厘米大孔径设计,减少机架孔径给病人造成的幽闭恐惧感;超静音高速旋转系统,无需镇静、无需屏息就可以完成CT扫描;低对比剂用量,减少注射对比剂产生的不适感。
临床应用的主要优势:
一是无限制1-stop脑卒中一站式成像
无限制一站式脑卒中成像是指一次造影剂注射、一次扫描,同时完成头颅平扫、头颈CTA、颅脑多期增强和全脑灌注成像。
根据病人发病时间,Revolution CT提供两种一站式脑卒中解决方案:一是发病6小时以内,采用5分钟方案。即在5分钟内完成头颅平扫、头颈CTA和全脑多期增强的检查,评估颈动脉狭窄和侧支循环情况,为制定血管内治疗提供有用信息;二是发病6-24小时,采用10分钟方案。即在10分钟内完成头颅平扫和全脑灌注的扫描,将头颈CTA融入全脑灌注扫描中,并从灌注数据中得到全脑多期增强数据,同时完成头颈CTA、全脑多期增强和全脑灌注信息,评估狭窄、侧枝循环和全脑灌注状态,协助筛选适。


一站式多部位联合成像对于脑卒中的快速诊断、分流缺血性卒中患者带来有效的解决方案。更快速地鉴别出血性与缺血性脑卒中,进而加速救治流程,为患者的救治争取更多时间。
二是无限制One-Beat心脏成像
Revolution CT同时解决了心脏扫描过程中高心率、心率不齐、房颤和屏气困难等四个难题。GE Revolution CT在各种心率和心律条件下,只需一个心跳时间便可完成精细的心脏检查,整个成像过程不超过1s,无需训练吸气闭气便可完成心脏冠状动脉成像。
Revolution CT颠覆传统心脏CT的诊断模式,在低剂量的前提下,一个心跳内就能同时回答心内科医生最希望了解的全部信息:冠脉是否有狭窄、心肌血供是否正常、室壁运动是否正常、心功能是否正常。此外,Revolution CT可以用四张胸片的剂量和超低造影剂用量完成冠脉成像,获得精美的图像质量。



我国心血管患者人数超过3亿,死亡率高达40%。以冠心病为代表的心血管疾病起病急、时间窗窄,对患者生命有着极大的威胁。该CT可缩短检查时间,进一步加速检查流程,改善胸痛中心和急性胸痛病症的检查流程。
三是无限制一站式全身多部位血管联合成像
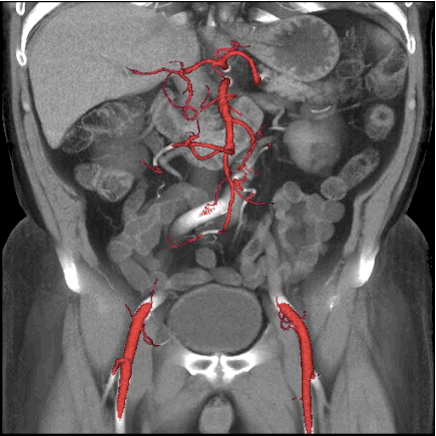
根据临床需要,很多患者需要做多部位的扫描,该CT独有的自由组合一站式联合扫描技术,实现不同扫描模式的快速切换,患者只需注射1次造影剂即可快速完成全方位联合扫描。常规情况下,患者需要分开几次预约扫描,而Revolution CT可以通过无限制的自由切换技术,实现扫描联合全身血管(包括头颈和下肢)同时扫描成像,可以帮助临床一次性解决所有问题,对患者没有任何禁忌,临床应用无限制。



四是更低剂量辐射技术
例如临床肺癌患者首次就医常因有明显的症状或传统胸部平片检查发现病灶,因此确诊时80%以上是中晚期肺癌,往往失去了根治性手术治疗的机会,总体5年生存率不足15%,临床疗效差,生存期短。Revolution CT在低剂量肺癌筛查扫描(LDCT),借助低剂量螺旋CT能检出直径小于1.0cm的小肺癌,在高危人群中进行的筛查中,早期肺癌的检出率可达80%,筛查的患者中80%~90%可通过微创手术切除治疗,无须进一步放疗和化疗。GE 公司推出的全新的Revolution CT ,具有16cm 宽体探测器及ASiR-V重建技术,胸部扫描覆盖范围大,扫描速度快,辐射剂量低,实现了早期肺癌低剂量精准成像。

Revolution CT常规低剂量扫描模式,可清晰显示病灶及其周围肺实质特征。
五是能谱CT去金属伪影技术
综合使用CT能谱成像技术和MARs技术,能有效减除金属植入物引起的伪影,明显改善金属植入物周围组织结构的影像清晰度,使CT图像质量显著提高,给金属植入术后患者的复查和随访提供了很大的帮助,具有广泛的临床应用价值。

六是常规化肿瘤功能成像
同时、同向、同源的宝石能谱成像技术,不仅掀起了能谱科研热潮,更通过不断的创新与实践,推动该先进技术进入临床常规,被编入人民卫生出版社出版的第七版《医学影像学》教材。Revolution CT采用更快的瞬切效率、全新的能谱重建算法和能谱工作流程,获得了更好的能谱图像质量,更低的能谱辐射剂量,更快的能谱扫描速度,更精准的能谱数据分析,更快的能谱重建速度。在肿瘤的检出、诊断和鉴别诊断以及疗效评估方面有非常重要的价值。(供稿:CT室 张天宇 编辑、摄像:宣传科 李征)
