-
08-15
-
08-15
-
11-15
-
06-18
-
04-24
-
01-23
一场车祸划破了宁静的夜晚。51岁的徐老师高高兴兴的从学校下班回家,却不知在回家的路上就要开始她的噩梦了,一辆汽车从前方飞驰而来,直接将她撞倒在地昏迷不醒……
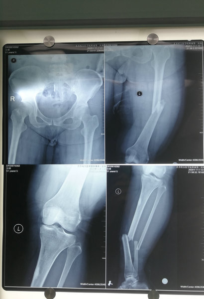
当徐老师意识渐渐恢复过来时,已经躺在了附属二院急诊病床上。经检查徐老师左腿断了三处,股骨、胫骨以及腓骨都撞断了,锋利的骨头划破了肌肉和皮肤,头部及脸部也受到了较重的创伤。
接到徐老师的骨外三科又忙碌了起来,吊瓶补液、清创缝合、石膏固定、患肢牵引。经过一系列的处置,徐老师的疼痛症状得到了缓解,然而面对骨折,这让骨外三科的医生无从下手,倘若按照以往的骨折方案行钛板固定,那意味着要在徐老师的大腿和小腿上造成更多、更大的创口,经过一番讨论之后,经验丰富的朱剑峰主任提出了新颖又对患者伤害最小的手术方案--髓内针。朱主任决定只在膝关节下方开一个5cm长的创口在股骨内逆行打入髓内针并向胫骨内正向打入髓内针, 1个5cm的创口就可以将断成3段的腿得到稳定的固定,再在小腿的外侧开一个5cm的创口植入钛板以固定腓骨。
手术方案决定后,得知消息的徐老师和她的丈夫脸上露出的一丝喜悦, 11月19日,躺在病床上6天的徐老师终于被推进了手术室,经过了2个小时的手术,焦急万分的丈夫终于看到徐老师被推出了病房,看到妻子缠着绷带的腿上没有了石膏和牵引,徐老师的丈夫和徐老师再一次看到了彼此灿烂的笑容。
髓内针内固定术如今已经成为长管骨骨折的主流手术方式,相对以往的钛板内固定他不仅创伤小,髓内针不仅伤害低,创口小,它可以控制骨折部位的轴向力线、带锁髓内钉可以防止骨折旋转畸形、降低了内置物断裂的风险;采用闭合及微创技术,减少了手术感染率;减少对骨膜血运的破坏、保留血肿内的有成骨作用的生长因子、扩髓碎屑具有自体植骨效应、肌肉收缩产生微动提供力学刺激等因素促进骨折愈合;中心固定、弹性固定、应力分散避免应力遮挡作用,再骨折发生率低;固定牢固可以早期功能锻炼和负重。
如今我院骨外科三病区在朱剑峰主任的带领下,以最小的创伤和最快的愈后为骨折患者解决病痛,现已逐步走向骨科骨折手术的主流。(供稿:骨外科三病区 刘艳楠 编辑、摄像:宣传科 李征)

团结向上的骨外科三病区医生团队

腿骨影像诊断片

打入髓内针的胫骨影像诊断片及术后腿部照片


