-
08-15
-
08-15
-
11-15
-
06-18
-
04-24
-
01-23
在我院正式启动卒中中心建设工作之际,介入科成功完成一例基底动脉重度狭窄支架植入术。
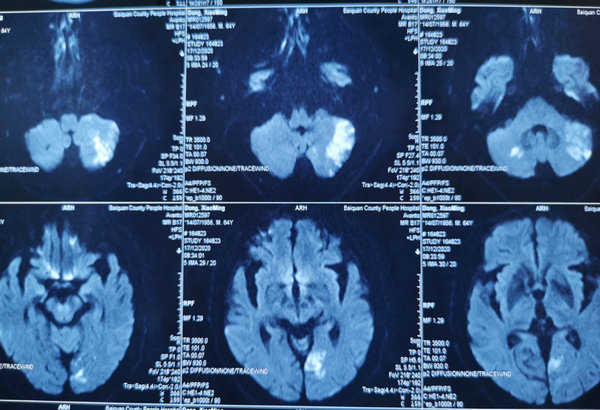
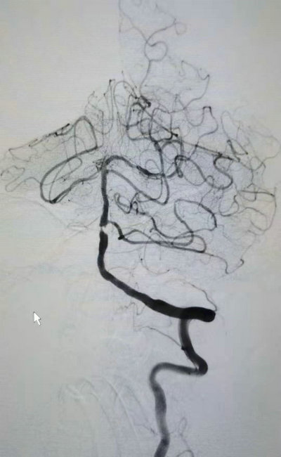
63岁的董先生,因阵发性耳鸣、左下肢无力10天,入住我院神经内科三病区救治。经颅脑MRI检查显示左侧颞枕叶、双侧小脑半球急性脑梗死,给予双联抗血小板聚集、强化他汀、改善循环等对症治疗基础上,又行全脑血管造影,发现患者的基底动脉近端狭窄严重,大于90%,近于闭塞。基底动脉至关重要,若不及时解除病变,随时可能再次出现脑干和(或)小脑梗死,导致呼吸循环功能衰竭,危及生命。由于基底动脉穿支众多,支架植入时挤压斑块可能导致穿支血管堵塞,在所有血管内支架手术中难度最高,风险最大。在与家属充分沟通后,同意实施基底动脉重度狭窄支架植入术。
1月7日下午,介入科马晓欧主任和杜友利医生,首先为董先生实施了基底动脉狭窄球囊扩张支架植入术,狭窄部位扩张满意后植入支架。术后患者神志清楚,言语流利,四肢活动自如,恢复良好。(供稿:介入科 杜友利 编辑:宣传科 张宁 )

介入科主任马晓欧(右)、主治医师杜友利为患者行基底动脉狭窄球囊扩张支架植入术

颅脑MRI检查

基底动脉造影

支架植入术后
科普知识:
脑卒中处理原则:预防为主!及时救治!早期康复!
一级预防:即病因预防,通过消除或减少病因或致病因素来防止或减少脑卒中的发生,属于最积极、最主动的预防措施。
二级预防:对有症状的患者,在一级预防的基础上,及时发现并针对性治疗脑血管的病变。
a.①血压控制②降脂治疗③降糖治疗④抗栓治疗⑤抗血小板治疗
b.外科治疗:颈动脉内膜剥脱术(ECA)和颈动脉支架置入术(CAS);椎/基底动脉动脉狭窄支架植入术。


