-
08-15
-
08-15
-
11-15
-
06-18
-
04-24
-
01-23
近日,我院在医学影像示教室组织开展了首例对抗“腰疼病”多学科诊疗模式学习交流会。骨外四病区主任刘洋、康复科负责人胡斌、CT科主任王余广及科室业务骨干人员参加会议,大家结合自身的临床经验,围绕骨外科四病区患者李女士的案例开展了讲座与交流。

学习交流会现场
学习中,王余广主任提出了综合诊疗时代“精准医疗,影像先行”的理念,并对患者术前、术后的影像学进行了解读和分析,刘洋主任对患者的情况及诊治的过程进行了详细讲解,康复科负责人胡斌、骨外科四病区郗政医生及CT诊断科王东旭医生对相关病例进行讲座,与会人员对患者适应症不同的治疗方案进行了讨论分析,受益匪浅。

与会专家针对案例进行讲解
MDT诊疗模式能有效提高疾病的医疗质量和安全,改善患者治愈率和生活质量,减轻患者经济负担。近年来,CT诊断科在王余广主任的带领下,积极参与院内多学科会诊,在今后的工作中,CT诊断科将参与更多的多学科诊疗模式,加强相关科室间的交流,进一步提高医院的综合诊疗水平,为广大患者制定最合理的诊疗方案,提供最优化的诊治服务。
案例:
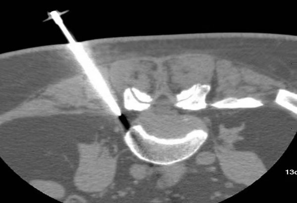
55岁的李女士,因反复腰疼伴左下肢疼痛麻木多年,经多次保守治疗无效,来到我院骨外科四病区就诊。腰椎MRI显示:L5-S1椎间盘突出。刘洋主任在与其家属充分沟通后,行CT引导下选择性腰神经根阻滞术。经CT引导下选择性腰、骶神经根阻滞术是治疗腰间盘突出症微创显著疗法之一。术后患者左下肢疼痛麻木的症状消失,第二天,原本被迫弯腰走路的患者,可以直起腰正常行走,现已痊愈出院。(供稿、摄像:CT诊断科 张天宇 编辑:宣传科 张宁)

CT引导下选择性腰神经根阻滞术
什么是MDT?
多学科协作诊疗(Multiple-discipline Cooperated Diagnosis and Treatment-MDT),该理念产生于20世纪80年代,是由多学科专家组成团队协作诊疗的工作模式。在该模式下,由多学科专家组成一个比较固定的治疗团队,针对某一疾病、某个病人,通过定期定时的专家会诊形式,拟出适合病人目前病情的最佳治疗方案,继而由主管该病人的学科单独或多学科联合严格执行该治疗方案,同时定期对病人的治疗反馈进行质量评估和优化,不断修正现有的诊疗模式,MDT是契合患者个体化诊疗需求的一种新型诊疗模式。在这个模式下,多个学科专家共同探索更适合患者个体的治疗方案,从而有效提升患者的生存率和生活质量。


